Skip to Main Content
SickKids

The Garron Family Cancer Centre

In January 2008, SickKids launched the Comprehensive Cancer Centre. The Centre was designed to enhance and integrate all aspects of clinical, research and educational activities in the discipline of oncology at SickKids.

Two years later, in 2010, the Garron Family donated an unprecedented $30 million to SickKids to revolutionize the care and treatment of children’s cancer in Canada and around the world.

The donation transformed the Comprehensive Cancer Centre into the Garron Family Cancer Centre (GFCC), the largest paediatric oncology centre in Canada, and created five Endowed Chairs in Childhood Cancer Research. A generous new gift of $15 million over 15 years from the Garron family, beginning in 2021, will support the Garron Family Chairs in Childhoood Cancer Research and other high priority needs of the centre.  

Translation of new knowledge at the GFCC continues to transform clinical practice and improve clinical outcomes and quality of life for children and their families affected by cancer. Our vision is better outcomes for children with cancer though collaboration, innovation, and discovery.

Meet the Garron Family

Myron and Berna Garron’s son Michael was treated for cancer at SickKids for many years. In 1975, Michael passed away at age 13 from synovial sarcoma, a rare type of soft tissue cancer. Their unprecedented gift is an acknowledgement of the dedication and level of care Michael received and a commitment to help create more positive outcomes for childhood cancer patients and their families.


Centre activities

Rendering of COVID-19 and blood cancer

Research

Discover how we are improving outcomes for children and young adults with cancer through innovative, multidisciplinary research.

Clinical Trials

A cornerstone of the Division of Haematology Oncology, the Clinical Trials Support Unit (CTSU) serves as an essential hub for clinical research operations. 

Peter Gilgan Centre for Research and Learning exterior

Education

View fellowship opportunities and current GFCC Fellows.

Patient and Caregiver Resources

The Patient and Caregiver Resources section offers educational materials and teaching videos on topics like medication, symptom management, and infection prevention, available in multiple languages.


Leadership team

The GFCC is an innovative and collaborative virtual centre that brings together scientists, clinicians, and educators across multiple disciplines to advance the diagnosis, treatment and outcomes of children, adolescents and young adults with cancer. GFCC faculty is far-reaching and its collaborators can be found throughout numerous divisions, departments and programs within the Hospital, Research Institute and the broader community.

  • Linette Margallo, MN

  • Kathryn Breckbill, PMP  
  • Donna Berry, PhD  

Centre programs

These are just a handful of programs from the Garron Family Cancer Centre that are making an impact in cancer treatment and research.

A black and white close-up image of an infant's hands holding onto their parent's palm.

Garron Family Psychosocial Haematology/Oncology Program

A childhood cancer diagnosis is distressing for the whole family including your child, siblings, caregivers, and other family members. The many changes ahead can be overwhelming, confusing, and can lead to mental-health struggles. To support children and families the Garron Family Psychosocial Haematology/Oncology Program provides critically important psychosocial care and practical resources for patients, families, and caregivers. We are thankful to our generous donors who believe in our shared goals to support children and their families through their cancer journey with the critically important supports and mental-health resources that help improve quality of life. Without their support we could not achieve our goals. Our deepest gratitude to the Garron Family, Kindred Foundation and the Murphy Family Foundation.

SickKids Cancer Sequencing Program

In 2016, SickKids established the world-leading SickKids Cancer Sequencing (KiCS) Program, which was designed to analyze the genetic make-up of a child’s cancer to determine a patient’s unique genetic fingerprint, identify the cause of the tumor, gain information about prognosis, and implement personalized treatments. Together with PROFYLE, a trailblazing pan-Canadian program being conducted in partnership with the Terry Fox Research Institute, multiple childhood cancer foundcations, and all 16 paediatric cancer programs across Canada, KiCS matches nationally-collected sequencing data with potentially life-saving drugs.

New Agent and Innovative Therapy (NAIT) program

The New Agent and Innovative Therapy program (NAIT) at SickKids is supported in part by the GFCC and is focused on providing access to new drugs and other treatments for childhood cancer patients. For more information about current clinical trials and eligibility, contact us today.

MIBG Program

To deliver this targeted radiation safely to children, and to keep families and hospital staff safe, a specialized room, equipment and healthcare team with special training are needed. SickKids' MIBG room includes state-of-the-art equipment and specialized Neuroblastoma and MIBG Therapy Programs.


Centre highlights

From groundbreaking cancer research and clinical trials to powerful stories of survivorship, explore powerful stories and expert insights from the GFCC program.

Spotlight: A day in the life of a Genetic Counsellor

In the SickKids Cancer Genetics Program, cancer genetic counsellors transform complex test results into clear, meaningful guidance, helping families navigate difficult decisions with both expertise and compassion. Their fast‑paced, deeply impactful work changes lives every day.

Learn how two genetic counsellors at SickKids share what a typical day looks like and how they support care for children with cancer and their families.

See day in life of a genectic counselor on YouTube

 

Featured episodes of SickKids Foundation podcast

Season 6, Episode 4

What Happens When a Cancer Trial Leads to Unexpected Results?(2)

A groundbreaking leukemia clinical trial that significantly improved survival outcomes.

Season 5, Episode 5

A Child Survives – But What’s Around the Corner

Exploring the long-term effects of childhood cancer and how experts are improving survivorship care beyond treatment.

Season 4, Episode 1:

How Can We Help Families Cope with Cancer?

Emotional and logistical challenges faced by families dealing with pediatric cancer.


Latest news

March 6, 2026

AI helps predict and prevent chemotherapy-induced vomiting for kids with cancer

A machine learning model developed at SickKids helps predict which cancer patients are at high risk of chemotherapy-induced vomiting, enabling early intervention.

Headshots of seven women participating in a SickKids mini-symposium.

February 11, 2026

Meet seven scientists shaping the future of child health research at SickKids

On the International Day for Women and Girls in Science we celebrate the scientific contributions of seven women from each SickKids research program.

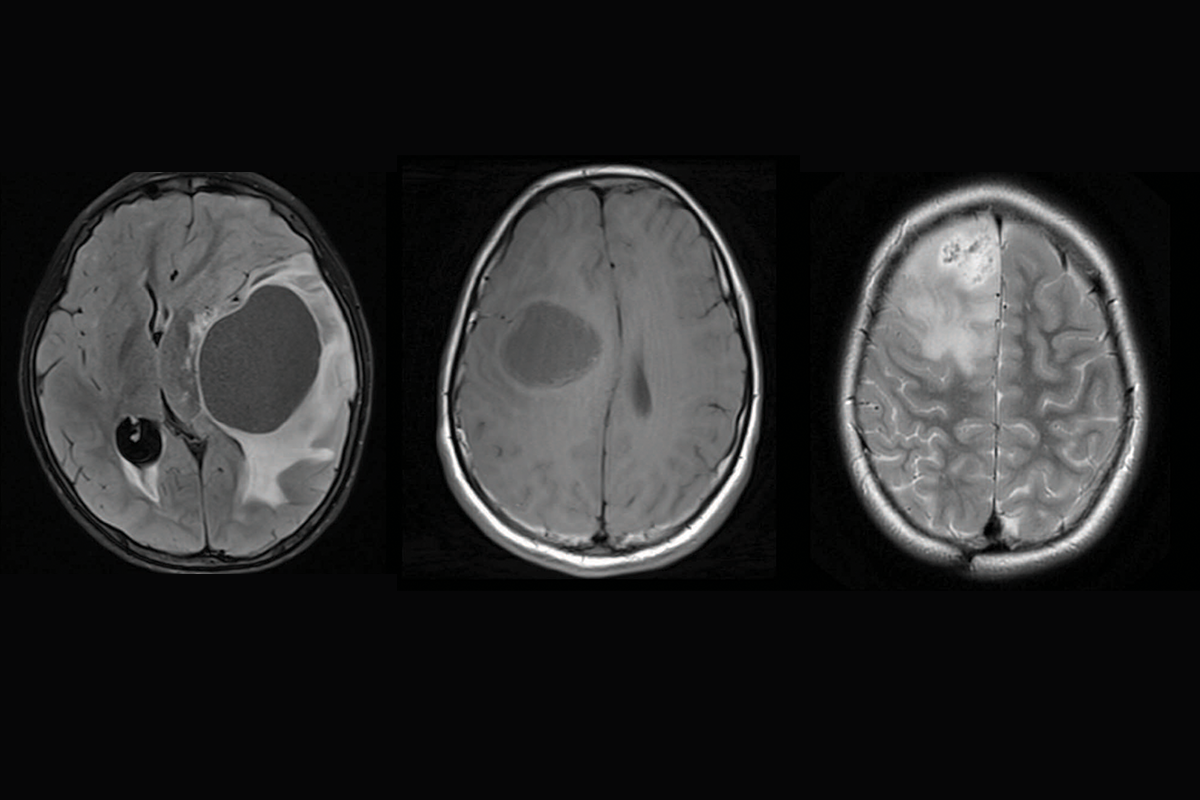
Brain scans showing three different subtypes of priMMRD high-grade glioma.

February 9, 2026

Discovery of unique brain tumour subtypes offers hope for targeted glioma therapies

SickKids researchers identify three subtypes of high-grade gliomas with distinct treatment responses to provide precision care for patients.


Partners


Contact us

Contact the GFCC

Contact the GFCC

Have a question? Get in touch with us today.

Foundation Relations

Foundation Relations

Interested in supporting the GFCC or have questions about fundraising? Our Foundation Relations Team is here to help.

Back to Top